7440Администрация
Кошки породы мейн-кун – красивые и крупные представители кошачьей породы. Среди них стоит выделить мейн-кун полидакт, отличающегося от своих сородичей многопалостью. Сейчас такие особенные экземпляры встречаются не часто и вызывают интерес, как профессиональных заводчиков, так и простых людей.
Отметим, что полидакты обладают более широкой и тяжелой костной структурой преимущественно в грудной части и передних лапах. Мы попытаемся разобраться, что такое полидактилия у мейн-кунов.
Что такое полидактилия
Такое явление вызвано природной мутацией. «Лишние» пальцы не страшны для полноценного существования животного, так же как поинтовые окрасы у сиамских котов, короткие хвосты у курильских бобтейлов, вислоухость у британцев. Распознать ее легко по дополнительным пальцам на лапах. У нормальных кошек на передних их по 5 штук на каждой, на задних – по 4. Чаще всего носители гена этого физического отклонения рождаются с шестью фалангами на передних. На задних конечностях также добавляется 1 палец. Противоположное явление – олигодактилия.
Лапки у таких кунов шире обычных, бывают различной формы, иногда напоминают варежку из-за отставленных в бок пальцев. Человеческая полидактилия проявляется аналогично. При этом мутация не распространяется на остальной организм, от нее не страдают внутренние органы, не меняется характер с темпераментом.
Единственное, что выделяет таких кунов кроме многопалости – крупные кости передних конечностей, широкая и мощная грудь. Однако некоторые заводчики утверждают, что мейн-кун с «варежкой» имеет крепкое здоровье, отличную психику. Шерсть, как и у всех богато одетых кошек, растет между подушечек и не доставляет неудобств.
Периодически появляются котята с несколькими дополнительными пальцами. Рекордное количество 32 штуки было у кошки, которая жила в 1974 году. Иногда они плохо развиты, отклонены в сторону, но животному жить не мешают. Владельцы уделяют внимание когтям на них, они могут загибаться в процессе роста и плохо стачиваться без подрезаний щипцами.
Сегодня есть доказательства, что полидактилия не связана с другими мутациями. Вопрос стоял остро, потому что другое явление синдактилия (сросшиеся фаланги) периодически ей сопутствовала. Эта мутация ухудшает качество жизни настолько, что многие котята не доживают до 2-3 недель, потому что не могут нормально передвигаться.
Что такое полидактия
Полидактия – это разновидность генетической мутации, из-за которой у животного или человека появляются дополнительные пальцы.
Полидактилия и другие мутации встречающиеся у мейн кунов
При такой мутации не появляется различных отклонений в развитии внутренних органов, или их функциональности.
По статистике, 40% кошек породы мейн кун является полидактами. Ген, отвечающий за многопалость, распространен до такой степени, что заводчики борются за сохранение феномена в качестве породного стандарта.
Котенок мейн кун полидакт
При этом, питомцы полидакты считаются более умными и харизматичными. Вместе с количеством пальцев увеличивается костяк животного. Грудь шире. За счет этого кот кажется крупнее.
История появления мутаций мейн-куна
Существуют предположения о скрещивании мейнских енотовых кошек с котами из бостонских портов, куда часто направлялись моряки из их родного штата. В Бостоне полидакты были очень распространены. Так ген многопалости проник в породу и остался, потому что он доминантный. Впрочем, местные жители относились к этому факту с уважением. Широкие лапы кунов позволяли без проблем передвигаться по снежному насту, льду, ловить мышей, крыс.
Благодаря замкнутому ареолу обитания, мутация распространилась на поколения вперед. Многопалая кошка выглядит гармонично, ее костяк крепкий, она не кажется сухой и тонкой. Ее движения нормальны, а заводчики отмечают крепкие суставы и связки. Уход такой же, как за другими кошачьими.
Моряки признавали таких кунов способными к охоте на палубных грызунов. Необычный облик всегда привлекал людей и способствовал созданию мифический историй. Сложилось мнение о том, что мейн-кун с лишними фалангами приносит счастье, а это так необходимо при странствовании на кораблях.
Гены передавались по наследству, и половина помета рождались с «варежкой». Особенные куны расплодились в новой Англии, штате Мэн, а затем и в других местах. Пресловутый остров, на котором известный писатель Хемингуэй жил и творил, стал настоящим чудом. На нем обитало несколько десятков котов с дополнительными пальцами. Родоначальником популяции был Сноуболл (Снежок). По сей день в музее имени писателя можно увидеть толпы кошек с мутацией. В мире ее часто называют в честь творца «хемингуэевской».
Первая кошка Белого дома США принадлежала Теодору Рузвельту. У нее были лишние фаланги, а звали ее Слиппер. Сами гены, вероятно, появились из-за случайной мутации, так как вреда за собой не несут. У человека аномалии конечностей могут возникнуть не только по наследственным причинам.
Мейн-куны полидакты: особенности и правила содержания
включайся в дискуссию
Поделись с друзьями
В современное время люди все чаще заводят домашних питомцев. Мейн-куны – одна из самых популярных пород среди кошачьих. Они привлекают внимание своей грацией и огромными размерами. Активное распространение животное получило на территории Америки, которая считается их родиной. Общество часто отделяет обычных мейн-кунов от полидактильных.
Разведение и полидактилия
Еще в середине прошлого века аномально разросшиеся пальцы никого не удивляли. Породистая кошка использовалась в племенной программе, различий между ней и особью со стандартным строением не было. К 70-80 годам положение дел изменилось, но уже в 80-е образовались питомники с целенаправленным разведением полидактов.
Однако в США к этому явлению относятся лояльно, без запретов или ограничений. В настоящее время многопалые куны признаются большинством европейских фелинологических организаций, участвуют в выставках без права претендовать на титул чемпиона и разведения. Некоторые заводчики кунов предлагают выделить животных с аномальным развитием лап в отдельную породу или группу.
Организации, признающие животных с мутацией:
- CFA.
- TICA.
- CFF.
- ACFA.
Все они зарегистрированы в США и допускают котов с полидактилией в разведение. Ассоциация MCBFA сделала попытки вывести их в отдельную категорию с собственным стандартом, но после некоторых прений участников вернуло все на старые места. Другие организации фелинологов, принимающих породу мейн-кун с аномалиями конечностей:
- TICA.
- NZCF.
Последняя работает в Новой Зеландии. Признание – результат деятельность объединенных усилий заводчиков кунов с мутацией. Они называются PolyStandart.
Как получить такого кота? Ген полидактилии – аутосомно-доминантный. Это значит, что при скрещивании многопалого кота и обычной кошки может получиться полидакт. Вероятность его рождения – 50%. «Варежка» предков не передается через поколение, только напрямую от носителя. Форма лапы и пальцев также не наследуется, то есть кошка может иметь другое расположение, количество и ширину фаланг, нежели ее родители. Если вязка двух свободных от мутации особей, то все потомство однозначно будет со стандартным набором пальцев.
Ген обозначают латинскими буквами Pd. В родословной носителей указывают букву Р, но ее может и не быть. Сегодня мейн-кун с «лишними» фалангами – экзотика. Их популярность то угасала, то стремительно взлетала. Несмотря на то, что полидакты не могут соревноваться за право быть чемпионом, их хозяева часто посещают выставки различных систем. Стоимость таких котят иногда намного выше, чем цена на стандартных породистых животных.
Мейн кун полидакт: что это значит, как разводить, виды полидактии
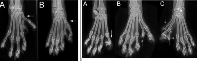
В научной литературе термин «полидактилия» («поли» — «много», «дактил» — «палец») часто обозначает наличие лишних пальцев. Существует две формы полидактилии: преаксиальная и постаксиальная. Под «аксиальной» подразумевается расположение относительно оси складывания конечностей эмбриона в матке. «Большой палец» расположен до этой оси (преаксиально), а «мизинец» — по другую ее сторону, т.е. постаксиально. У людей обычно встречается постаксиальная полидактилия, т.е. появление лишнего мизинца, тогда как у кошек это, как правило, преаксиальная полидактилия с лишними пальцами со стороны большого пальца. Форма полидактилии, наиболее часто наблюдаемая у кошек, — это проявление простого аутосомно-доминантного признака. Он не влияет отрицательно на здоровье животных и не связан с другими аномалиями развития.
Когда порода мейн-кун была впервые признана фелинологическими системами, решение исключить из чемпионата полидактильных животных не было связано с вопросами здоровья. Оно касалось эстетики. Образ полидактилии воспринимался в тесной связи с домашней или фермерской кошкой. Планировалось ввести этот признак позднее, когда порода мейн-кун оформится. Он целенаправленно выводился из разведения только для соответствия выставочным стандартам. На заре своего становления ассоциация MCBFA включила полидактилей в стандарт породы. Она пишет: «Члены нашей ассоциации MCBFA проголосовали за включение полидактилей в стандарт породы со следующей формулировкой: «Полидактильные мейн-куны должны полностью соответствовать существующему стандарту породы мейн-кун за исключением того, что могут иметь лишние пальцы либо на передних, либо на задних, либо на тех и других лапах». В письме от 29 сентября 1973 года тогдашний вице-президент ассоциации MCBFA г-н Ljostad говорит: «Мы знали, что многие мейн-куны являются полидактилями, и не хотели, чтобы этот признак полностью исчез из породы. Потом мы узнали, что некоторые заводчики, работавшие с этими кошками, не могут ими больше заниматься. Тогда мы с женой решили приобрести одну такую и поддерживать этот признак в породе». В течение долгих лет некоторые заводчики мейн-кунов поддерживали признак полидактилии в своих племенных программах. В 2001-2004 годах они начали создавать свою организацию и осознали, что в мире у них есть единомышленники, занимающиеся тем же самым. В 2005 году они сконцентрировали свои усилия на возвращении полидактов в ряды чемпионов. Полидактильные мейн-куны вошли в класс новых пород, чтобы повысить информированность об этом признаке и участвовать в выставках. Поскольку полидактильные мейн-куны рассматривались в основном в качестве домашних любимцев, их породный тип ослабел. Заводчики начали усиленную работу по его улучшению в рамках стандарта. Конечно, это займет время, но с 2005 года до настоящего момента произошли существенные подвижки в данном направлении.
Долгие годы многократно повторялось ложное заключение, что полидактилия является племенным дефектом, который влечет за собой экстремальные формы выражения и серьезные заболевания у мейн-кунов. Но ничто другое не может быть так далеко от истины — как было подтверждено научными исследованиями и общими наблюдениями в течение десятилетий. Д-р Лесли Лайонс из Калифорнийского университета (University of California, Davis) в течение нескольких лет работала с заводчиками мейн-кунов, собирая образцы ДНК для выявления гена полидактилии. Ее заключение, вкупе с рядом других исследований, звучит как: ген полидактилии (Pd) абсолютно безопасен даже в гомозиготном состоянии и не имеет ничего общего с геном радиальной гипоплазии (Rh). Также эти образцы ДНК полидактильных мейн-кунов были использованы в масштабном исследовании полидактилии у кошачьих, проводимом в 2007 году учеными Laura A. Lettice, Alison E. Hill, Paul S. Devenney и Robert E. Hill с кафедры генетики человека (MRC — Human Genetics Unit) медицинского центра Western General Hospital в Эдинбурге (Великобритания). Данное исследование было попыткой расширить знания о существующих генах, выражающихся в форме полидактилии у различных видов, включая человека, мышей и кошек. Исследование образцов ДНК кошачьих выявило 3 мутации гена полидактилии (Pd) — схожих, но имеющих слегка разное выражение. Все три мутации являются неопасными выражениями гена Pd. Исследователи пришли к заключению, что: «Анализ генетики полидактильных кошек выявил три новых мутации, связанных с преаксиальной полидактилией. Как установлено и для людей и мышей, мутации кошки лежат в генном регуляторе ZRS, что предполагает, что природа преаксиальной полидактилии кошек идентична другим млекопитающим. Поскольку эти мутации отражаются в фенотипе конечностей человека без каких-либо других выявленных физиологических дефектов, мы утверждаем, что этот тип полидактилии не влечет за собой вредоносного влияния на здоровье кошки». Информация о разведении полидактильных мейн-кунов может быть получена от опытных заводчиков, использующих их в своих племенных программах в течение нескольких лет. Они фиксировали результаты вязок полидактов на неполидактов, полидактов на полидактов и гомозиготных полидактов на неполидактов. Данные от этих заводчиков демонстрируют отсутствие отрицательных результатов при вязке двух полидактильных животных. Предлагается делать вязку полидакта и неполидакта, чтобы проследить генетику родителей и знать, кто и как передает ген полидактилии. Чтобы получить полидактильное потомство, один из родителей должен быть полидактом. Статистика показывает, что в среднем в таких пометах рождается 55.7% полидактильных котят. Отдельные пометы демонстрируют индивидуальную раскладку, и указанный процент является средним по данным многих пометов. Заводчики фиксировали отсутствие полидактильных котят в пометах, наличие одного, двух, трех и т.д. Это случайный выбор, который сравним с соотношением девочек и мальчиков в помете, когда шансы у каждого котенка примерно 50/50. В случае вязки полидакта на полидакта оценочное количество поли-котят в помете будет составлять 75%. А если один из родителей является гомозиготным полидактом, то весь помет будет полидактильным. Неоспоримым фактом остается то, что этот ген имеет различную выраженность в потомстве вне зависимости от комбинации пальцев родителей. Он не является летальным и выражает себя по-разному даже в гомозиготной форме, что нехарактерно для других доминантных генов. Поскольку ген полидактилии может выражаться по-разному, было разработано руководство для определения конфигурации «больших», обычных и рудиментарных пальцев.
Разведение широколапых кошек
Широколапые особи породы мейн-кун разводятся в питомниках на основе племенных программ, где между поколениями передаётся соответствующий ген. Для получения потомства с многопалостью один родитель должен обладать аномалией стопы – тогда рождение потомства с полидактилией возможно с вероятностью в 56% (не все котята помёта полидактильны).
Если вязать двух широколапых животных, вероятность рождения котят-полидактов возрастает ещё на 20%. Вязка, где один родитель – гомозиготный полидакт, приводит к тому, что весь помёт будет многопалым.
Полидактилия у кошек
Ген полидактилии ведёт себя непредсказуемо. Он выражается у потомства по-разному, независимо от комбинации пальцев родителей. В противовес прочим доминантным генам, он проявляется различным образом как в гомо-, так и в гетерозиготной формах.
Заводчики широколапых котов продолжают вести статистическую работу, пытаясь обнаружить более точную информацию о вероятности получения многопалого потомства котят.
>Мейн-кун: характер и повадки, содержание и уход, болезни, как выбрать котёнка
Покупать ли такого котенка?
Полидактильный котёнок не требует особого ухода, эта особенность не нуждается в лечении. Животные с многопалостью имеют потребности, аналогичные их собратьям с нормальным числом пальцев.
Большее количество пальцев не является признаком, по которому можно судить о слабом здоровье животного, а полидактильные мейн-куны своим образом жизни доказывают, что многопалость имеет свои преимущества.
Полидактильная кошка – замечательный кандидат на роль домашнего питомца.
Такие же здоровые и активные, как и любые другие животные, эти питомцы обладают ещё и внешней «изюминкой», которая совершенно не отражается на их здоровье. Более тихие и ловкие – эти животные в чём-то даже обходят своих обычных сородичей.
Посмотрев на кошек с большим количеством пальцев, понимаешь, что здесь что-то не так. Эти многопалые кошки, получали такие необычные лапы сразу при рождении. Такое отклонение называется полидактилией – генетической аномалией, которая может проявиться у любого животного, но особенно она распространена среди кошек.
Обычно у кошки на передних лапах по пять пальцев и по четыре – на задних. У полидактильных кошек, как правило, на одной лапе на 1-2 пальца больше, чем у обычных их представителей. Кроме того и конфигурация этих пальцев бывает различной. Ген полидактилии проявляет себя в 40-50% случаев и не зависит от пола животного.
Однако подмечено, что для рождения многопалого котенка у одного из его родителей должна быть данная особенность. Полидактилия считается довольно распространенной аномалией среди кошачьей братии, которая не наносит никакого вреда их опорно-двигательным способностям, а даже, наоборот – от такого количества пальцев для кошек одна лишь польза.
Единственной проблемой, отмечаемой владельцами таких котов, является более частая необходимость стрижки когтей на дополнительных пальцах. А также у потомков полидактильных кошек более широкая и тяжелая костная структура, по сравнению с потомством, полученным от самых обычных кошек.
Интересно, что жители Новой Англии (северо-восток США), где данное явление очень распространено среди мейн-кунов, считают их аборигенами этих земель. Там бытует мнение, что мейн-куны являются прекрасными охотниками, а дополнительные пальцы делают их более ловкими, цепкими и устойчивыми, позволяя им свободно перемещаться по глубокому снегу, не проваливаясь в него.
Как рассказывают, что некоторые питомцы использовали свои чудо-лапы для ловил рыбы, которую, поймав, они приносили своим хозяевам в особо голодные времена. Кроме того полидактильные коты очень ценились мореплавателями за их уникальные качества, используемые при ловле крыс и мышей. Также многими путешественниками они считались животными, приносящими удачу.
Полидактилия наиболее часто встречается среди кошек, живущих в западной Англии, Уэльсе, Новой Англии и Канаде. Ранее считалось, что данная мутация характерна для корабельных кошек, которые якобы должны были иметь возможность сильнее цепляться за палубу на корабле. Вполне понятно, что все это только людские домыслы.
Тем не менее, полидактилия может проявиться у любого вида кошек совершенно спонтанно, при этом сами животные не обязательно должны быть знакомы друг с другом. В статье «Cat Watch» за 1998год, опубликованной Корнелльским университетом (Cornell University), США, говорится, что исследования, проводимые с 1940 г. по 1970 г. показали, что данный признак вполне вероятно присутствовал у кошек, прибывших с пуританами из Англии в Бостон в середине XVII века. Также предполагается, что данная мутация возникла у животных уже живших в районе Бостона.
По предположению ученых, непосредственные потомки полидактилей могли жить на борту многих торговых судов, которые приходили в Галифакс, Новую Шотландию и Ярмут (Массачусетс), где популяция таких кошек особо многочисленна. Интересно, что в Европе многопалых кошек почти не встретишь, поскольку в Средние Века любой кот с неординарной внешностью умерщвлялся из-за предрассудков, которые в те времена связывали с колдовством и магией.
В отличие от всевозможных других мутаций полидактилия не является помехой для кошек, а может быть даже полезной для них. Существуют люди «полидаткты», которые специально разводят таких кошек и гордятся своими питомцами. В мире было много знаменитых личностей, у которых жили полидактильные коты.
Например, у американского президента Теодора Рузвельта был кот-полидакт по кличке Слипперс, который стал одним из первых котов, поселившихся в Белом доме. Этот кот часто становился центром внимания на многих пресс-конференциях и официальных приемах тех времен.
Кроме того, многопалые коты жили у известного писателя Эрнеста Хемингуэя. Хорошо был известен шестипалый кот по кличке Сноуболл (Snowball). Этот кот был подарком от морского капитана Стэнли Декстера, который был собутыльником писателя. Хотя другое издание писало, что этот капитан подарил Хемингуэю многопалую кошку по кличке Принцесса. В те времена моряки свято верили в то, что 6-палые кошки приносят невероятную удачу.
Как бы ни было, но Эрнест Хемингуэй популяризовал своих кошек-полидактов. В его поместье Ки-Уэст и сейчас живет около 60 кошек, которых кормят и берегут в память о писателе. Половина из этих кошек типичныеполидакты, вполне вероятно, что они являются прямыми потомками Сноуболл.
Некоторые полидактильные кошки являются обладателями так называемой «лапы-варежки». Такая лапа образована «лишними» пальцами, прикрепленными во внутренней стороне лапы. Многие из кошек умеют этими пальцами двигать точно так же как и люди. Такие представители кошачьего мира с легкостью могут открывать любые двери. Кошки, у которых пальцы размещены в одну линию, назвали кошками с «лапами-снегоступами» или «лапами-блинами». Внешне их лапы похожи на рысьи. Благодаря такому строению эти кошки легко перемещаются по глубокому снегу.
Благодаря большому количеству пальцев на лапах некоторые кошки попали в Книгу рекордов Гиннеса. Так, например, кошка по кличке Джейк, принадлежавшая Мишель и Полу Контант из Онтарио (Канада) была обладательницей 28 пальцев. Она была занесена в Книгу рекордов в 2002 году. Уже в 2011 году на свет родился котенок по имени Фред, у которого тоже было 28 пальцев, а у него в свою очередь есть брат Нед с 26-ю пальцами! Вот такая вот статистика…>Полидактилия у кошек.
Дополнительная информация: Лишние пальцы пальцы у кошек.
Что такое полидактилия?
Полидактилия (или многопалость) у кошек – это состояние, при котором у кошки на лапах больше пальцев, чем в норме. Нормальным количеством пальцев для кошек считается пять на передних лапах и четыре на задних. У полидактильных кошек (их иногда называют хэмингуэевыми кошками) на некоторых, или даже всех лапах, пальцев больше. Увеличенное количество пальцев вызывают довольно редкие наследственные генетические мутации. Фактически, многие заводчики намеренно включают в селекционные программы кошек, у которых присутствует такая генетическая аномалия, чтобы удовлетворить спрос на многопалых кошек, которых многие считают животными с милой физической особенностью. Заводчики часто рекламируют таких кошек, как «кошек в варежках», «кошек с большим пальцем» или «Бигфут-кошек». Хотя проблемы со здоровьем в связи с полидактилией возникают крайне редко, закрепление этой мутации ради ублажения капризов человека крайне нежелательно. Для породистых кошек полидактилия автоматически приводит к дисквалификации животного, использование таких кошек в породном разведении запрещено. Единственным исключением, похоже, является порода Пиксибоб, в стандарте которой некоторые ассоциации допускают наличие лишних пальцев – всего не более семи.
Полидактилия наблюдается у кошек во всех частях света, хотя и с разной частотой. В США наибольшая популяция полидактильных кошек существует в Бостоне, штат Массачусетс. Считается, что это потомки кошек, завезённых английскими переселенцами. Моряки в те времена верили, что лишние пальцы позволяли кошкам лучше ловить мышей, поэтому их часто держали на кораблях, что способствовало распространению таких кошек по миру. Вероятно, этим же объясняется повышенное количество полидактильных кошек в популяциях портовых городов.
Лечение полидактилии у кошек.
Полидактилия у кошек может не требовать лечения, если заводчики ответственно подходят к селекции, подбирая пары родителей так, чтобы при сохранении мутации у потомства не было неблагоприятных отклонений. Однако, полидактилия у кошек может стать причиной хромоты и инфекций, распространяющихся на другие части тела, вызывать осложнения с сердцем. В ряде случаев, чтобы избежать травм и проблем со здоровьем в будущем, рекомендуется хирургическое удаление дополнительных пальцев.
Как правило, операция проводится под анестезией, но госпитализации не требуется. Болеутоляющие средства кошка получает в домашних условиях, для предотвращения бактериальных инфекций назначаются антибиотики. Использовать наполнитель для туалетного ящика на период восстановления не рекомендуется, так как он может попасть в хирургическую рану. Полное восстановление кошки завершается в течение нескольких недель.
Полидактилия у кошек крайне не приветствуется в практике разведения и не приветствуется ветеринарами. Закрепление нежелательных мутаций по прихоти человека негуманно, так как вызывает медицинские осложнения, ухудшающие качество жизни кошек. Носителей мутации, как кошек, так и котов, обычно стерилизуют, чтобы не мутация не передавалась будущим поколениям.
Полезные материалы:
- Кожный рог Общее описание заболеванияКожный рог на лбу или лице (код по МКБ 10 — L57.0) —…
- Мейн кун не ест Как кормить мейн куна Владельцы мейнских кошек знают, что желудок кошки небольшого размера, поэтому лучше…
- Зуд и выделения без запаха Основные причиныПрежде чем рассматривать факторы, провоцирующие появление выделений, имеющих кисловатый запах, необходимо сразу же отметить,…
- Нормальная температура у животных Нормальная температура у разных видов животных Ветеринарные услуги Дневной стационар для животных Ветеринарные справки Вакцинация…
Стоит ли заводить такого кота?
Полидактилия – мутация, которая никоим образом не вредит и не мешает коту полноценно жить. Она влияет исключительно на внешний вид, более того, полидактильные коты более здоровые, чем их сородичи.
Конечно, это никак не отразится на вас или членах вашей семьи, так как человеку данное изменение не передается. Итак, мы понимаем, что полидактилия не считается серьезным отклонение, поэтому можно с полной уверенностью сказать, что никаких проблем с котами, обладающими полидактилией, не возникнет.
Стоит знать, что коты с мутацией будут стоить дороже в 2 раза. В наше время это считается необычным, чем-то экзотическим. Популярность их только растет с каждым днем. Но в России мало тех, кто занимается именно разведением, поэтому могут возникнуть некоторые трудности.
О том, как выглядят полидакты, смотрите далее.















