Содержание
1. Причины отёка легких у собак 2. Симптомы отека легких у собак 3. Лечение и диагностика отека легких у собак 4. Лечение отека легких у собак 5. Вместо заключения
Заболевания дыхательной системы часто могут давать тяжелейшие осложнения. На фоне различных заболеваний у собаки могут развиваться различные неприятные симптомы, включающие отек легких. Развитие этого состояния может происходить постепенно или стремительно, что связано с особенностями организма и целым рядом факторов, дающих такой эффект. В альвеолах, тонких трахеях и под ними, а также в соединительной ткани может стремительно накапливаться жидкость. Это приводит к затруднению дыхания, низкой усвояемости кислорода, общему кислородному голоданию, сильнейшей отдышки. Если владелец своевременно не примется спасать питомца, то он может задохнуться.
Критической отметкой является появление жидкости в самих легких. Если мокрота может откашливаться, то от такого количества обычным кашлем избавиться невозможно.

Отек легких у собак: собачий грипп>
Отек легких образуется из скопления жидкости в легких. Эта жидкость в легких собаки затрудняет дыхание собаки. Симптомы могут быть слабыми или серьезными, в зависимости от степени накопления жидкости в альвеолах (крошечные воздушные мешочки в легких).
Отек легких у собак может быть острым или хроническим, таким как кардиогенный отек легких, связанный с проблемами с сердцем. Поэтому важно знать, что отек легких сам по себе является не болезнью, а симптомом другого изменения.
Более того, мы рекомендуем прочитать нашу статью о проблемах с дыханием у собак — причины и лечение.
Причины отёка легких у собак
К развитию состояния приводит наличие больших проблем с сердцем. Нарушение малого круга кровообращения является провоцирующим фактором для возникновения отечных процессов во всех прилежащих органах. К предшествующим недугам относят:
- Различные врожденные пороки сердца, особенно связанные с дисфункцией желудочков.
- Артериальная гипертония симметричного или ассиметричного типа. Повышенное давление нагоняет жидкость в легкие.
- Неправильная работа сердечных клапанов, включая отсутствие синхронизации.
- Закупоривание любой из легочных артерий полностью или частично.
- Гипертрофия (увеличение) сердечной мышцы. Волокна растягиваются, сердце не может качать нормальный объём, возникает застой.
- Аорта не имеет достаточно объёма для накопительной функции.
К прочим причинам возникновения можно отнести следующие распространенные случаи:
- Воспаление легких и тяжелые бронхиты.
- Сильные ушибы грудной клетки, возникающие при столкновении с автомобилями или после ударов от людей.
- Наиболее часто врачи списывают отёк легких на наличие онкологических заболеваний. Это практически на 90% верно в преклонном возрасте питомца.
- Черепно-мозговые травмы закрытого типа с временной или постоянной дисфункцией мозга.
- Укусы змей и массированные атаки ос могут привести к отеку легких на основании аллергической реакции.
- Заражение крови, вызванное незаживающими ранами, особенно на подушечках лап.
- Сильное потрясение у малых пород может вызывать отечные состояния в легких. К этому может привести, например, испуг от взрыва или выстрела.
- Аллергия на чрезмерное количество лекарств или наркоз.
- Хронические заболевания выделительной системы, при которых жидкость не выводится из организма.
- Отравления ядохимикатами, а особенно ядами, предназначенными для борьбы с вредителями.
- При обширных ожоговых поражениях кожи может возникнуть нарушение солевого баланса и общее нарушение циркуляции жидкостей в организме.
- Наличие общего истощения у собак, находящихся на неправильной диете.
- Слишком длительное пребывание на прямых солнечных лучах, тепловой удар и потеря сознания.
- Наличие инфекции в крови.
- Это одно из осложнений после хирургических операций на грудной клетке.
- Переливание крови при неправильных условиях вызывает отёк легких.
- Длительные проблемы с желчным пузырем, панкреатит и дискинезия желчевыводящих путей, наличие камней.
- Приступ эпилепсии с отключением сознания.
- Наличие анафилактического шока. Поэтому важно делать уколы только в клинике.
Существует ошибочное мнение о том, что к отекам легких может приводить стерилизация или кастрация. Обычно отек легких у собак возникает на фоне осложнений от наркоза. Это возможно после любого хирургического вмешательства.
Отек легких у животных
Автор: Дегтерев Георгий Денисович
Наши любимые домашние питомцы, как и мы сами не можем жить без воздуха. В нем содержится кислород (21%)– элемент, без которого невозможны обменные процессы в организме. Для осуществления дыхания необходимы легкие, в паренхиме которых осуществляется газообмен между воздухом и кровью, протекающей по легочным капиллярам. Любые патологические процессы, протекающие в легких, препятствуют нормальному газообмену, могут вызывать гипоксию (кислородное голодание) и даже смерть. Одно из критически сложных состояний – это отек легких.
Отек легких – это тяжелое патологическое состояние, которое обусловлено массивным выходом жидкости (транссудата) из легочных капилляров в интерстиций легких и альвеолы. Выпот жидкости связан с нарушением гидростатического и коллоидно-осмотического давления. Процесс приводит к снижению функций альвеол, резкому нарушению газообмена в легких и развитию кислородного голодания органов и тканей – гипоксии. Наряду с гипоксией наступает тяжелое угнетение функций ЦНС. У животных всех видов, возрастов, полов и пород может быть диагностирован отек легких.
Этиология
Отек легких, как правило, делится на две формы: кардиогенный и некардиогенный. Кардиогенный отек легких обусловлен повышением гидростатического давления, вызванного левосторонней сердечной недостаточностью, сюда входит: дилатационная кардиомиопатия, гипертрофическая кардиомиопатия и недостаточность митрального клапана, вызывающая регургитацию (обратный ток крови через митральный клапан от левого желудочка в левое предсердие). Некардиогенный отек не связан с сердечно-сосудистой системой, чаще всего происходит на фоне общих нарушений в организме. Это могут быть: травмы головного мозга, обструкции дыхательных путей, острый респираторный дистресс-синдром, почечная недостаточность, гипопротеинемия, электрический шок, токсины (например, дым и змеиный яд).
Клинические признаки
Клинические признаки кардиогенного отека включают тахипноэ (учащённое поверхностное дыхание), цианоз (синюшность) слизистых оболочек ротовой полости, обильное выделение пенистой розовой мокроты, дыхание с открытым ртом у кошек. Аускультация может выявить легочные хрипы, а также наличие нарушений сердечной деятельности: кардиогенные шумы, ритм галопа и аритмия. Так же можно отметить увеличение частоты пульса больного животного и патологические его характеристики – он слабого наполнения, нитевидный. При осмотре отмечается бледность или цианоз видимых слизистых. Яремные вены набухшие, так же может быть асцит при бивентрикулярной сердечной недостаточности, собаки с хронической сердечной недостаточностью страдают сердечной кахексией и сильно измождены.
Клинические признаки некардиогенного отека включают тахипное и респираторный дистресс синдром (РДС). Респираторный дистресс-синдром (РДС) — острая дыхательная недостаточность, причиной которой могут быть осторые повреждения легких разной природы, и которая характеризуется некардиогенным отеком легких, нарушениями внешнего дыхания и гипоксией (нехваткой воздуха в организме). Аускультация выявляет хрипы, но сердечный ритм, как правило, нормальный, посторонних кардиогенных шумов не прослушивается. При поражении электрическим током, животное может иметь ожоги в ротовой полости. У животных с обструкцией верхних дыхательных путей (паралич гортани/брахиоцефалическии синдром) шумное дыхание.
Диагностика
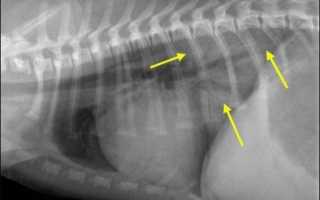
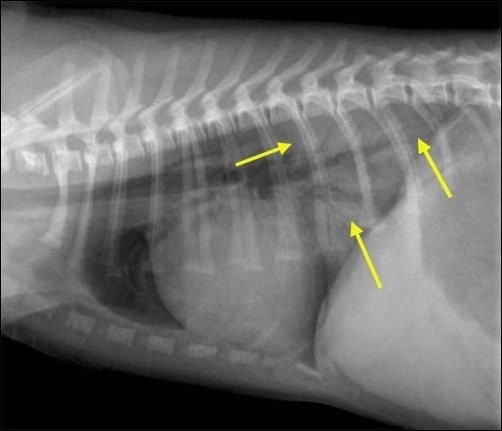
При всех формах отека легких главным диагностическим тестом является грудная рентгенограмма. Грудная рентгенограмма подтверждает или опровергает наличие жидкости в легких (затемнение легочных полей с одной или обеих сторон), при сердечной патологии – увеличение в размерах тени сердца. Распределение инфильтратов может помочь в определении этиологии. В человеческой медицине давление заклинивания в лёгочных капиллярах (ДЗЛК) является золотым стандартом для дифференцировки кардиогенного от некардиогенного отека легких, но в ветеринарии применяется очень редко, так как для его измерения необходимо установить катетер в легочную артерию.
рис. 1 — отек
рис. 2 — норма
У собак с кардиогенным отеком грудная рентгенограмма документирует кардиомегалию, венозный застой, интерстициальную и альвеолярную инфильтрацию. У собак инфильтрация обычно начинается в перихилярной области (корень легкого), но может расширяться и в тяжелых случаях поражать всю паренхиму легкого. У кошек с кардиогенным отеком на рентгене так же можно увидеть кардиомегалию, застой в легочных венах, но картина отека вариабельна.Также желательно проводить следующие исследования: эхокардиография, ЭКГ, измерение ДЗЛК.
У животных с некардиогенным отеком грудная рентгенограмма покажет инфильтрацию паренхимы легких без кардиомегалии. Другие диагностические тесты: нормальная эхокардиограмма и нормальное ДЗЛК.
Измерение соотношения белка в легочном инфильтрате и плазме крови также полезно для определения этиологии (кардиогенный VS некардиогенный). При кардиогенном отеке жидкость с низким содержанием, а при некардиогенном отеке уровень белка высок. Если животное не интубировано или есть кашель, то забор жидкости может быть затруднен.
Лечение
Лечение кардиогенного отека концентрируется на: кислороде, снижении стресса, диуретиках и вазодилататорах. Из диуретиков наиболее часто используется фуросемид. Вазодилататоры включают нитроглицирин, нитропруссид, а также ингибиторы АПФ (эналаприл) или гидралазин. Вазодилататоры следует использовать с особой осторожностью у животных с артериальной гипотензией. Животное должно находиться в покое, частота дыхательных сокращений их качество, кровяное давление, а также частота сердечных сокращений должны постоянно контролироваться. Собак с дилатационной кардиомиопатией желательно обеспечить инотропной поддержкой. Значительные тахиаритмии могут быть решены с антиаритмической терапии по мере необходимости терапию. При застойной сердечной недостаточности внутривенные вливания растворов противопоказаны, но животные должны быть обеспечены водой. Прогноз при ХСН осторожный, животному требуется пожизненная сердечная терапия и постоянный контроль, так как при несоблюдении лечения могут быть рецидивы.
Лечение животных с некардиологическим отеком менее очевидно, по сравнению с кардиологическим отеком. Состояние животных с острым некардиогенным отеком, обусловленным обструкцией дыхательных путей, поражением электрическим током, как правило, быстро улучшается, если животное обеспечено покоем и кислородотерапией. Можно использовать диуретики, противовоспалительные средства (дексаметазон), а также коллоиды. У животных с некардиогенным отеком легких другой этиологии терапия зависит от основной причины, но может включать в себя антибиотики или внутривенное введение жидкости.
При всех формах отека легких должен быть постоянный мониторинг, включающий в себя ЧСС ЧДД, кровяное давление, температуру тела, насыщение кислородом артериальной крови. Животное должно находиться в покое. Желательно сначала стабилизировать животное, а уже затем проводить дополнительные диагностические исследования, так как стресс может вызвать ухудшение состояния.
Берегите своих домашних животных, следите за их состоянием, не откладывайте в оказании квалифицированной помощи!
Симптомы отека легких у собак
Определить это заболевание крайне сложно, ведь оно схоже с другими болезнями очень сильно, что проявляется на начальных этапах. Нужно сопоставить всё с провоцирующими факторами, осмотреть питомца, а потом немедленно обращаться к врачу:
| Аппетит | Снижается, животное полностью отказывается от еды, находясь в угнетенном состоянии. Также может проявляться беспокойство, собака не может лежать на одном месте. |
| Дыхание | Учащено и затруднено. Амплитуда подъёма грудной клетки крайне мала, движения практически не видно. Также наблюдается одышка, проявляющаяся во множестве коротких вдохов подряд в течение 1-2 минут, после чего наблюдается кратковременная нормализация. |
| Поза сна | Выбирается необычная поза для сна, обычно собака ложится на бок, вытягивая лапы, пытаясь приподнять грудную клетку выше, закидывая голову на высокую точку. |
| Сухой кашель | С приступами, но амплитуда при этом крайне мала. Происходит множество коротких и резких позывов. |
| Веки и глаза | Приобретают цвет мела или наоборот, синеют. Также меняется оттенок губ и нёба. |
| Пена | На краях ноздрей и в уголках пасти периодически может возникать пена. |
| Нарушение | Сердечного ритма |
| Дисфункция организма | Общая дисфункция организма, называемая коллапсом. Владелец может распознать её, когда кашлю сопутствует жидкий стул, пониженная температура и прочие проблемы. А питомец в этот момент практически не проявляется активности, просто лежит, часто дышит с мелкой амплитудой и двигает глазами. |
Отек является прогрессирующим состоянием, самостоятельно он пройти не может. Ждать также запрещено, ведь в течение короткого времени клиническая картина может резко измениться. В домашних условиях вылечить это состояние невозможно.
Симптомы у собак
Несколько симптомов могут указывать на отек легких у вашей собаки. Если ваша собака сильно дышит, необходимо внимательно за ней понаблюдать. Кашель вместе с необычно учащенным дыханием может означать, что ваша собака не получает необходимое количество кислорода.
У собак с отеком легких также может наблюдаться вздутие яремной вены. Если не лечить, губы вашей собаки могут посинеть — состояние, известное как цианоз. В этом случае требуется экстренная поездка к ветеринару.
Лечение и диагностика отека легких у собак
Полноценный диагноз может быть поставлен только врачом на основании результатов анализов, выявленных симптомов и общего анамнеза состояния пациента. Это заболевание является первоочередным, обычно ветеринары бросают всё, обслуживая таких собак вне очереди. Для диагностики нужно провести следующие обследования:
- Рентгеноскопия грудной клетки с трех направлений.
- Прослушивание полости легких при помощи стетоскопа.
- Общий обширный и газовый анализ крови, а также нужна проверка на свертываемость.
- Опытный ветеринар может простукивать грудную клетку и услышать скопление жидкости по звуку.
- Ультразвуковое обследование сердца.
- При подозрении на злокачественные опухоли может быть назначена пункция.
- Измерение давления крови.
Успех диагностики напрямую зависит от оснащенности клиники и уровня врачей. Лучше не экономить, иначе можно потерять животное.
Диагностика отека легких
Диагноз выставляется по результатам анализа симптомов, выслушивания легких, которое определяет влажные хрипы. Достаточно информативными являются данные рентгенографии.
Лабораторные данные показывают значительное повышение количества лейкоцитарных клеток в крови, гиперазотемию, чрезмерную активность печеночных ферментов.
Рентгенография обычно проводится в двух плоскостях. Заметно понижение прозрачности ткани легкого. Корни легких размыты и расширены. Очаговые изменения в легких встречаются гораздо реже: чаще всего изменяются все доли легкого.
Дифференцировать отек надо от:
- коллапса дыхательного горла;
- пареза гортани;
- закупорки дыхательных путей;
- опухолей;
- тромбоэмболии артерии легкого.
Лечение отека легких у собак
Всё это возможно только в условиях стационарного лечения. Желательно оставить животное под наблюдение на 2-3 суток до полного выхода из отечного состояния. Терапия включает в себя следующие меры:
- Насыщение тканей легких кислородом.
- Обязательно назначаются мочегонные препараты, чтобы избавиться от жидкости через естественные функции организма.
- Снятие отёков при помощи гормональных уколов.
- Производится расширение сосудов для снижения общего давления.
- Собакам, находящимся в шоковом состоянии, прописывают успокоительные препараты.
- Назначаются бронхолитические средства, способствующие отхаркиванию мокроты.
- При наличии ярко выраженных болей или перед болезненными манипуляциями, выполняется блокада грудной клетки при помощи новокаина.
- В экстренных случаях для снижения давления может применяться кровопускание.
- Жидкость из легких может быть откачана при помощи специального аппарата.
Как лечить кардиогенный отек легких
По прибытии в кабинет ветеринара будет проведено полное обследование вашей собаки, которое будет включать прослушивание сердца через стетоскоп.
В большинстве случаев рентгенограммы грудной клетки (рентгеновские снимки) используются для диагностики всех форм отека легких.
Если обнаружена проблема с сердцем, лечение начнется с дополнительного кислорода, отдыха и введения лазикса (фуросемида), обычного мочегонного средства.
Фуросемид почти всегда используется в качестве средства немедленного лечения в случаях застойной сердечной недостаточности для удаления излишков жидкости в легких и других частях тела.
Однако ваш ветеринар может прописать что-нибудь более сильное, например спиронолактон или гидрохлоротиазид (диуретики) или сосудорасширяющее средство. В крайнем случае может быть предоставлен механический респиратор.
Последующее лечение кардиогенных пациентов состоит из приема лекарств для укрепления сердца и соблюдения диеты с низким содержанием натрия. Если ваш ветеринар прописывает вашей собаке фуросемид или отправляет вас домой с мочегонным средством, следите за своим питомцем на предмет признаков обезвоживания из-за дисбаланса электролитов в кровотоке.
Если ваша собака испытывает вялость, депрессию, расстройства желудочно-кишечного тракта или судороги, сообщите об этом ветеринару, чтобы он сообщил о побочной реакции, которая потребует дополнительного лечения.
