Мегаэзофагус
Этиология
Мегаэзофагус — это заболевание, при котором происходит расширение пищевода в связи с потерей функции перистальтики. Этиология его неизвестна, хотя оно может быть врожденным или вторичным при других патологических состояниях. Мегоэзофагус вызывается нарушением функции расширения физиологического сфинктера.
Первичный мегаэзофагус, по-видимому, обусловлен дефицитом сенсорных нейронов, иннервирующих пищевод, или нейронов, иннервирующих или находящихся в самом глотательном центре. Так как сенсорные импульсы отсутствуют, то нет ощущения присутствия пищевого комка. Поэтому перистальтика не начинается, а также не происходит расширения дистального сфинктера, в результате чего пища остается в пищеводе. Любая патология пути, контролирующего рефлекторную перистальтику в пищеводе, связанную с прохождением комка пищи, приводит к задержке его в пищеводе. Заболевание может также быть следствием асинхронной двигательной функции пищевода и дистального эзофагеального сфинктера. Кроме того, предполагается, что состояние, наблюдаемое у очень молодых собак, возникает в результате незрелости эзофагеальной ткани и часто исчезает с возрастом. У взрослых животных проблема оказывается следствием приобретенного дефекта неврологической иннервации пищевода.
Вторичный мегаэзофагус может быть связан с:
- миастенией;
- полиомиозитом;
- системной красной волчанкой;
- гипоадренокортикозом;
- отравлением свинцом.
У кошек вторичный мегаэзофагус наблюдается как часть типичной клинической картины синдрома семейной вегетативной дисфункции кошек. Миастения (myasthenia gravis) также зарегистрирована у кошек в связи с мегаэзофагусом. У кошек наблюдали и мегаэзофагус, обусловленный пилорической обструкцией, которая улучшалась после пилоромиотомии.
Предполагается, что аспирационная пневмония, обычная при мегаэзофагусе, является следствием торможения задержки дыхания во время глотания со стороны дыхательного центра.
По сообщениям, мегаэзофагус наиболее распространен у датского дога, ирландского сеттера и немецкой овчарки (Harvey et al., 1974). Есть также гипотезы о наследовании заболевания как простого аутосомного рецессивного гена у цвергшнауцеров и фокстерьеров (Сох et al., 1984), а также подтверждено наследование заболевания у кошек как рецессивного, не связанного с половым признаком (Clifford et al., 1971). Заболеваемость выше у сук (Harvey et al., 1974), и обычно кошки болеют реже собак.
Клиническая диагностика
Классическими признаками мегаэзофагуса являются депрессия и потеря веса у собак, которые срыгивают непереваренную пищу и жидкость. В начале заболевания срыгивание может носить перемежающийся характер, а в некоторых случаях хозяин вовсе не наблюдает срыгивания, и обнаруживаются только симптомы, обусловленные аспирационной пневмонией.
Срыгивание наблюдается примерно через 12 ч после кормления, и в этих случаях обычно она представляет собой небольшое количество непереваренного корма, часто в форме колбаски и в оболочке из слизи. Срыгивание сразу после кормления бывает чаще при физической нагрузке, возбуждении или стрессе. Срыгиваемая пиша при этом не содержит желчи и имеет высокое значение pH, это говорит о том, что корм не успел достичь желудка. Многие хозяева жалуются на рвоту у кошки или собаки, в то время как фактически это пассивное срыгивание. Иногда хозяева говорят о рвотных движениях, совершаемых животным, и это, по-видимому, происходит вследствие пассивного срыгивания в глотку, которое вызывает асфиксию. Зачастую пациент сразу же проглатывает срыгиваемую пищу, и это может повторяться несколько раз.
Аспирационная пневмония часто осложняет заболевание и ведет к одышке, кашлю, вялости и гипертермии. Иногда развивается инфекция верхних дыхательных путей со слизисто-гнойными выделениями из носа. Именно респираторная инфекция становится причиной смертности в большинстве случаев при этом заболевании. Аппетит обычно не пропадает, и вначале описывается хозяином как волчий, но часто снижается, особенно при развитии аспирационной пневмонии или расширении и повреждении пищевода, приводящего к дальнейшей потере мышечного тонуса.
Тщательный анамнез и полный физический осмотр позволяют убедиться в отсутствии признаков вторичного мегаэзофагуса. При отсутствии системных заболеваний для подтверждения идиопатического мегаэзофагуса следует использовать перечисленные ниже процедуры.
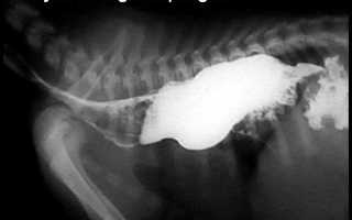
Диагноз ставят по результатам рентгенографии. Простая рентгенография обычно выявляет расширение грудного отдела пищевода и часто заполнение желудка воздухом. Глотание бария (твердый корм в оболочке из сульфата бария) является весьма эффективным методом подтверждения задержки пищи в пищеводе. Обычно расширение происходит в грудном отделе пищевода, поскольку способность к расширению там больше, чем в шейной области, хотя можно наблюдать расширение и шейного отдела пищевода, особенно у кошек. Флюороскопия помогает подтвердить нарушение перистальтики, а также отсутствие другого заболевания пищевода. Пище редко удается попадать в желудок, и может наблюдаться конусовидное сужение дистального отдела пищевода в непосредственной близости к желудку. Это результат нормальной функции дистального сфинктера.
Рисунок 1 — Рентгенограмма собаки с мегаэзофагусом
Лечение
В большинстве случаев прогноз неблагоприятный, наблюдается значительная потеря веса у многих собак. Часто животное гибнет от аспирационной пневмонии. Распространена также эвтаназия при неэффективности медикаментозного лечения, и эти две ситуации составляют более 70% всех случаев. Животным очень молодого возраста с врожденным мегаэзофагусом требуется тщательный уход, так как эзофагеальная ткань у них продолжает созревать в течение нескольких месяцев после рождения, что часто приводит к спонтанному выздоровлению. Кроме того, у молодых взрослых собак зарегистрирована транзиторная форма заболевания с полным выздоровлением.
Лечение применяют медикаментозное и хирургическое. Оправданна модифицированная миотомия Геллера, при которой рассекают мышцу пищевода и мышцу кардии желудка, что облегчает попадание пищи в желудок. Однако при этом не удается добиться перистальтики, так что после операции пища не доходит до желудка без сопровождающего консервативного лечения. По этой причине метод используют редко, и общепринято одно лишь консервативное лечение. Есть предположения о повышенной смертности при проведении операций.
Полезно бывает кормить пациента с возвышения. Вертикальное положение следует сохранять еще около 30 мин после кормления, чтобы помочь пище попасть в желудок. Кошку с той же целью можно носить на плече хозяина. Жидкая пища проходит легче, чем твердые куски. Одной из деталей лечебного питания является кормление пациента несколько раз в день небольшими порциями. В отдельных случаях могут потребоваться те или иные отклонения от основного метода, поэтому следует поощрять экспериментирование хозяина с режимом диеты, чтобы найти оптимальный вариант для животных. Несомненно, стоит проводить консервативное лечение щенков, так как у некоторых из них к 6— 12-месячному возрасту наблюдается спонтанное улучшение.
Рекомендуется промывание трахеи с последующим посевом бактерий, связанных с аспирационной пневмонией, определение их чувствительности. Следует назначить подходящий антибиотик, лечат, как минимум, 3 недели или до снятия симптомов респираторного заболевания. При раннем обращении к врачу прогноз более благоприятный, так как в таком случае лечение может быть начато до дегенерации нервных сплетений в мускулатуре пищевода вследствие стаза.
Похожие:
- Крикофарингеальная ахалазия
Общая характеристика
Megaoesophagus (расширение, дивертикул)
— это редкая врожденная или травматическая болезнь кошек, характеризующаяся увеличенным, вялым пищеводом, который не позволяет адекватно переносить пищу из ротовой полости в желудок из-за наличия неадекватных мышечных сокращений или отсутствия перистальтических движений.
Это болезнь относится к дилатации пищевода с отсутствием эффективной его перистальтики. Megaoesophagus был назван аденопатией пищевода, дилатацией пищевода, гиповолитизмом пищевода и нервно-мышечным заболеванием пищевода. Возникают как врожденные идиопатические, так и приобретенные формы мегаэзофагуса. В литературе сообщается, что врожденный мегагеофагус встречается у собак породы немецкая овчарка, ирландский сеттер, ньюфаундленд, шар-пей и борзая. Патологическое состояние развивается как наследственное заболевание у собак с волосистой структурой шерсти (аутосомно-рецессивные) и миниатюрные шнауцеры (аутосомно-доминантная или 60%-ая аутосомно-рецессивная). Подозрительная наследственная форма была зарегистрирована у собак Bouvier des Flandres (см. миопатия собак породы Bouvier des Flandres). Идиопатический мегаэзофагус также сообщается у кошек с предрасположенностью, отмеченной у кошек сиамских пород. Врожденная форма дилатации пищевода обычно проявляется у животных во время отлучения. Менее часто можно выявить идиопатическое расширение пищевода взрослого человека. Читатели должны знать о других сообщениях для получения дополнительной информации о мегаэзофагусе, связанном с обструктивными заболеваниями пищевода, такими как неоплазия, гранулемы, сосудистые кольца, стриктуры, опухоли и инородные тела [1].
Приобретенное расширение пищевода может встречаться у собак или кошек в любом возрасте, хотя в одном исследовании, старше (в среднем = 8 лет), тяжелые собаки подвергались риску, в том числе немецкие овчарки, золотистые ретриверы и ирландские сеттеры. Во многих случаях причина неизвестна; однако это состояние наблюдалось в связи с определенными системными нервно-мышечными расстройствами, такими как миастения, ботулизм, гипоадренокортицизм (связанный с дефицитом глюкокортикоидов с или без одновременного дефицита минералокортикоидов), полимиозит, дерматомиозит, миотоническая миопатия, неклассифицируемая миопатия, полирадикулоневрит, гигантская аксональная невропатия (немецкие овчарки), клещевой паралич, токсикоз свинцом, токсикация таллием, мышечные дистрофии собак и кошек и дистрофические состояния, комплекс ларингального паралича, полинейропатия, дисусотомия, нарушения памяти гликогена, кошачий маннозидоз, сенсорный ганглиорадикулит и спинальная мышечная атрофия.
При приобретении миастении у собак, дилатация пищевода может быть единственным клиническим признаком. Сообщалось также о спорадических случаях при гипофизарной карликовости у собак, столбняке собак и у щенков породы лабрадор-ретривер с семейным рефлекторным миоклоном. В одном сообщении, megaoesophagus был отмечен у собаки породы английский спрингер спаниель с полисистемным расстройством, включающим диссэритропоэз, полимиопатию и сердечную болезнь. Megaoesophagus у собак и кошек может также возникать при двустороннем повреждении блуждающего нерва из-за хирургического вмешательства, травмы или неоплазии, а также при различных поражениях головного мозга — неоплазии, депрессии, энцефалите, гранулематозном менингите / менингоэнцефаломиелите, травмах и инфарктах мозговой ткани.
Было заявлено, что связь между гипотиреозом и дилатацией пищевода еще не установлена. В одном из сообщений, megaoesophagus был найден у 5 собак с гипотиреозом и миастенией.
Клинические признаки
Все симптомы связаны с мышечной слабостью в той или иной части тела:
- глазные мышцы;
- мимическая мускулатура;
- горло и пищевод;
- конечности;
Признаки:
- быстрая утомляемость;
- мышечная слабость при физической нагрузке (примерно у 60% пациентов);
- мегаэзофагус (снижение тонуса и расширение пищевода);
- изменение голоса;
- паралич гортани;
- затруднение глотания.
Как правило, симптомы появляются в течение нескольких дней или недель и могут иметь довольно широкий спектр. Слабость, вызванная физическими нагрузками, может вообще не наблюдаться, а иногда мегаэзофагус является единственным признаком (при очаговой форме миастении).
Из-за затруднения глотания и регургитации (обратного движения проглоченной пищи или воды), может возникать аспирационная пневмония (пища, рвотные массы или слюна попадают в дыхательные пути), что усложняет течение основного заболевания и ухудшает прогноз.
Паранеопластическая форма миастении связана с тимомой (опухолью тимуса), расположенной в грудной клетке, и должна быть диагностирована как можно раньше. Такая форма миастении не проходит спонтанно.
Поскольку миастения распространенное заболевание, все животные с мышечной слабостью, затрудненным глотанием или мегаэзофагусом должны пройти диагностику для исключения миастении.
Таблица 1.1. Породные неврологические нарушения у собак и кошек
| Абиссинская | Приобретенная myasthenia gravis |
| Афганская борзая | Приобретенный (идиопатический) паралич гортани Наследственная миелопатия (лейкодистрофия) Нарколепсия/ катаплексия |
| Эрдельтерьер | Гипоплазия мозжечка Абиотрофия мозжечка Дегенеративный стеноз пояснично-крестцового отдела |
| Акита-ину | Приобретенная myasthenia gravis Врожденная глухота Врожденное вестибулярное заболевание (двухстороннее) |
| Хаски | Митохондриальная энцефалопатия (болезнь Ли, подострая некротизирующая энцефалопатия) |
| Маламут | Наследственная полиневропатия Миелодисплазия Остеохондроматоз позвонков |
| Американская эскимосская собака | Врожденная глухота |
| Австралийский голубой хилер | Врожденная глухота |
| Австралийская пастушья собака | Восковидный липофусцноз Врожденная глухота Митохондриальная энцефаломиелопатия Полиоэнцефаломиелопатия |
| Австралийская келпи | Абиотрофия мозжечка |
| Австралийская овчарка | Врожденная глухота |
| Балинезийская | Сфингомиелиноз (болезнь Ниманна-Пика типа А) |
| Бассет-хаунд | Спондиломиелопатия шейных позвонков (костный стеноз) Дегенеративное заболевание межпозвонковых дисков (тип I) Шаровидноклеточная лейкодистрофия (болезнь Краббе) Гликопротеиноз (болезнь Лафора) |
| Баварская горная собака | Абиотрофия мозжечка |
| Бигль | Врожденная глухота Врожденное вестибулярное заболевание Абиотрофия мозжечка Гликопротеиноз (болезнь Лафора) Заболевание межпозвонковых дисков (тип I) Идиопатическая эпилепсия Шаровидноклеточная лейкодистрофия (болезнь Крабе) Миелинопатия спинного мозга, связанная с недостаточностью метионина (атаксия гончих – Европа) Нарколепсия Некротизирующий васкулит («болевой синдром биглей») |
| Метис бигля | Ганглиозидоз (GM1) |
| Бельгийская овчарка грюнендаль | Мышечная дистрофия |
| Бельгийская овчарка малинуа | Дегенеративная миелопатия Дегенеративный стеноз пояснично-крестцового отдела Лейкодистрофия/ губчатая дегенерация (Энцефаломиелопатия малинуа и их метисов) |
| Бельгийская овчарка | Врожденный нистагм |
| Бельгийская овчарка тервюрен | Идиопатическая эпилепсия Мышечная дистрофия |
| Бернская горная собака | Дегенеративная миелопатия Заболевание печени и головного мозга –гипомиелинизация/дисмиелинизация (дисмиелиногенез) Гистиоцитарная саркома Менигнит/ Менингомиелит (некротизирующий васкулит) |
| Бернский зенненхунд (Bern Running Dog) | Дегенерация мозжечка |
| Бишон-фриз | Нестабильность атлантоосевого сустава Врожденная глухота Порок развития каудальной части затылочной кости Синдром идиопатического тремора |
| Бирманская | Дистальная полиневропатия Лейкодистрофия/ губчатая дегенерация |
| Крапчато-голубой кунхаунд | Шаровидноклеточная лейкодистрофия |
| Бурбуль | Спондиломиелопатия каудальной части шейного отдела |
| Бордер-колли | Абиотрофия мозжечка Восковидный липофусцноз Врожденная глухота Миелопатия вследствие Фиброзно-хрящевой эмболии Идиопатическая эпилепсия Чувствительная невропатия |
| Русская псовая борзая | Спондиломиелопатия каудальной части шейного отдела Врожденная глухота |
| Бостон-терьер | Абиотрофия мозжечка Врожденная глухота Врожденная гидроцефалия Врожденный порок развития позвонков (половинные позвонки) Внутричерепная киста паутинного пространства |
| Фландрский бувье | Наследственный паралич гортани Миопатия гортани/пищевода |
| Боксер | Аутоиммунный полимиозит (+/- паранеопластический процесс) Врожденная глухота Менингит, поддающийся корткостероидной терапии (асептический) Качание головой (подозрение на дискинезию) Дегенеративная миелопатия Дистрофия аксонов Вакуолизация нейронов Пилонидальный (дермоидный) синус Первичное новообразование мозга (глиома, менингиома) Прогрессирующая аксонопатия |
| Бретонский спаниель | Абиотрофия мозжечка (с поздним развитием) Мышечная дистрофия Атрофия мышц позвоночника Дегенерация спинного мозга и мозжечка |
| Брюссельский гриффон | Порок развития каудальной части затылочной кости (с сирингогидромиелией) |
| Бульмастиф | Абиотрофия мозжечка Экстрадуральная синовиальная киста Лейкодистрофия/ губчатая дегенерация |
| Бультерьер | Абиотрофия мозжечка Врожденная глухота Наследственный паралич гортани Стремление гоняться за собственным хвостом |
| Бурманская | Врожденное вестибулярное заболевание Гипокалиемическая миопатия Менингоэнцефалоцеле |
| Керн-терьер | Шаровидноклеточная лейкодистрофия Портосистемный анастомоз (печеночная энцефалопатия) Атрофия мышц позвоночника (заболевание двигательных нейронов) |
| Кардиган-вельш-корги | Врожденная глухота |
| Каталонская леопардовая собака | Врожденная глухота |
| Кавалер-кинг-чарльз-спаниель | Порок развития каудальной части затылочной кости (с сирингогидромиелией) Инфаркт мозжечка Врожденная глухота Эпизодический гипертонус мышц («падающий кавалер-кинг-чарльз-спаниель» — возможно, дискинезия) Идиопатическая эпилепсия |
| Чихуахуа | Нестабильность атлантоосевого сустава Врожденная глухота Врожденная гидроцефалия Восковидный липофусцноз Некротизирующий менингоэнцефалит Дистрофия аксонов |
| Китайская хохлатая собака | Абиотрофия мозжечка |
| Чау-чау | Гипоплазия мозжечка Врожденная глухота Гипомиелинизация/ дисмиелинизация (дисмиелиногенез) Врожденная миотония |
| Кламбер-спаниель | Митохондриальная миопатия |
| Кокер-спаниель | Восковидный липофусцноз Врожденное вестибулярное заболевание (у английских) Врожденная глухота Криптококкоз (у американских) Идиопатический паралич лицевого нерва Заболевание межпозвонковых дисков (тип I) Лейкодистрофия/ губчатая дегенерация Мультисистемная нейронная дегенерация (у собак рыжего окраса) |
| Колли (шотландская овчарка) | Врожденная глухота Дерматомиозит Дистальная полиневропатия |
| Колли (гладкошерстная) | Врожденная глухота Дерматомиозит Дистрофия аксонов Атрофия мышц позвоночника |
| Колли (жесткошерстная) | Абиотрофия мозжечка Дерматомиозит Гипоплазия зрительного нерва Чувствительная невропатия тройничного нерва |
| Корги | Дегенеративная миелопатия Заболевание межпозвонковых дисков (тип I) Чувствительный ганглиорадикулоневрит |
| Корниш-рекс | Врожденная глухота (у животных белого окраса) |
| Котон-де-тулеар | Абиотрофия мозжечка (две формы) |
| Такса | Восковидный липофусцноз Врожденная глухота (у животных пестрого окраса) Идиопатическая эпилепсия Заболевание межпозвонковых дисков (тип I) Myasthenia gravis (врожденная, приобретенная) Нарколепсия/ катаплексия Гликопротеиноз нейронов (болезнь Лафора) Чувствительная невропатия (у длинношерстных) |
| Далматин | Спондиломиелопатия каудальной части шейного отдела Восковидный липофусцноз Врожденная глухота Эпизодический гипертонус мышц («судорога») Гипомиелинизация/ дисмиелинизация (дисмиелиногенез) Комплекс паралича гортани/ полиневропатии Лейкодистрофия/ губчатая дегенерация |
| Девон рекс | Врожденная глухота (у животных белого окраса) Мышечная дистрофия |
| Доберман-пинчер | Врожденная глухота Врожденное вестибулярное заболевание Спондиломиелопатия каудальной части шейного отдела Болезнь «танцующих доберманов» Идиопатический тремор головы Идиопатическое самотравмирование (чувствительная невропатия) Нарколепсия/ катаплексия |
| Аргентинский дог | Врожденная глухота Комплекс паралича гортани/ полиневропатии |
| Домашняя короткошерстная кошка | Приобретенный (идиопатический) паралич гортани Восковидный липофусцноз Шаровидноклеточная лейкодистрофия (болезнь Крабе) Ганглиозидоз GM1 Ганглиозидоз GM2 Гипероксалурия Маннозидоз Метахроматическая лейкодистрофия Муколипидоз II (I-клеточная болезнь) Мукополисахаридоз I типа (синдром Гурлер) Мукополисахаридоз VI типа (синдром Марото-Лами) Мышечная дистрофия Сфингомиелиноз (болезнь Ниманна-Пика типа С) Атрофия мышц позвоночника |
| Домашняя трехцветная кошка | Дистрофия аксонов |
| Египетская мау | Лейкодистрофия/ губчатая дегенерация |
| Английский бульдог | Абиотрофия мозжечка Врожденная глухота Врожденный порок развития позвонков (половинные позвонки) Идиопатический тремор головы Порок развития крестцовых и хвостовых позвонков Расщелина позвоночника |
| Английский фоксхаунд | Миелинопатия спинного мозга, связанная с недостаточностью метионина (атаксия гончих) |
| Английский пойнтер | Чувствительная невропатия (самотравмирование) Атрофия мышц позвоночника |
| Английский сеттер | Врожденная глухота Восковидный липофусцноз |
| Экзотическая короткошерстная кошка | Врожденная глухота (у животных белого окраса) |
| Фокстерьер | Врожденная глухота |
| Французский бульдог | Врожденная глухота Врожденный порок развития позвонков (половинные позвонки) Идиопатический тремор головы |
| Стародатская легавая | Синдром врожденной миастении (пресинаптической) |
| Немецкая овчарка | Приобретенная myasthenia gravis Аутоиммунный полимиозит Врожденная глухота Врожденный мегаэзофагус Врожденное вестибулярное заболевание Дегенеративный стеноз пояснично-крестцового отдела Дегенеративная миелопатия Фиброзная миопатия Невропатия гигантских аксонов Врожденный паралич гортани (у животных белого окраса) Идиопатическая эпилепсия Заболевание межпозвонковых дисков (тип II) Миозит жевательных мышц Мукополисахаридоз Нефробластома Дистрофия аксонов Атрофия мышц позвоночника (заболевание двигательных нейронов) |
| Немецкий короткошерстный пойнтер | Травма мышц хвоста Ганглиозидоз GM2 Половинные позвонки Гнойно-гранулематозный менингоэнцефаломиелит |
| Золотистый ретривер | Приобретенная myasthenia gravis Эозинофильный менингоэнцефалит Миозит экстраокулярных мышц Гипомиелинизирующая полиневропатия Множественные хрящевые экзостозы Мышечная дистрофия Первичное новообразование мозга (менингиома) |
| Шотландский сеттер | Абиотрофия мозжечка |
| Дог | Стенотическая миелопатия каудальной части шейного отдела (костный стеноз, нестабильность) Врожденная (невоспалительная) миопатия Врожденная глухота Врожденная миотония Дистальная симметричная полиневропатия Диссеминированный идиопатический гиперостоз скелета (ДИГС) Экстрадуральная синовиальная киста Миелопатия вследствие Фиброзно-хрящевой эмболии Немалиновая миопатия Первичный ортостатический тремор Атрофия мышц позвоночника (у метисов дога) |
| Пиренейская горная собака | Врожденная глухота Комплекс паралича гортани/ полиневропатии Гипоплазия зрительного нерва |
| Грейхаунд | Менингит, поддающийся корткостероидной терапии (асептический) Врожденная глухота Врожденный мегаэзофагус Миопатия при физической нагрузке Инфаркт таламуса |
| Вандейский бассет-грифон | Атрофия мышц позвоночника (заболевание двигательных нейронов) |
| Харрьер | Абиотрофия мозжечка (в Финляндии) Миелинопатия спинного мозга, связанная с недостаточностью метионина (атаксия английских гончих) |
| Гималайская | Фиброзная миопатия Маятникообразный нистагм (врожденный) |
| Гончая | Миелинопатия спинного мозга, связанная с недостаточностью метионина (атаксия гончих – Европа) Полирадикулоневрит |
| Ховаварт | Дегенеративная миелопатия |
| Ивисская собака | Врожденная глухота |
| Ирландский сеттер | Приобретенный (идиопатический) паралич гортани Абиотрофия мозжечка Восковидный липофусцноз Врожденный мегаэзофагус Наследственная квадруплегия и амблиопия Идиопатическая эпилепсия Паралич гортани (приобретенный, идиопатический) Лиссэнцефалия |
| Ирландский терьер | Мышечная дистрофия |
| Ирландский волкодав | Спондиломиелопатия каудальной части шейного отдела (нестабильность) Миелопатия вследствие Фиброзно-хрящевой эмболии (у молодых животных) Эпидуральная эмпиема спинного мозга |
| Итальянская борзая | Врожденная глухота |
| Спиноне | Абиотрофия мозжечка Врожденная полиневропатия |
| Джек-рассел-терьер | Врожденная глухота Врожденная myasthenia gravis Наследственная атаксия Внутричерепная киста паутинного пространства Митохондриальная энцефалопатия Миокимия/ нейромиотония Чувствительная невропатия |
| Японский хин | Нестабильность атлантоосевого сустава |
| Японский спаниель | Ганглиозидоз GM2 |
| Японский шпиц | Мышечная дистрофия |
| Кеесхонд | Идиопатическая эпилепсия |
| Керри-блю-терьер | Абиотрофия мозжечка |
| Корат | Ганглиозидоз (GM1) Лиссэнцефалия |
| Кувас | Врожденная глухота |
| Лабрадор-ретривер | Приобретенный (идиопатический) паралич гортани Абиотрофия мозжечка Врожденная глухота Аксонопатия лабрадор-ретриверов (центральная) Миопатия лабрадор-ретриверов Лейкодистрофия/ губчатая дегенерация (энцефаломиелопатия) Врожденная миотония Органическая ацидурия Рефлекторный миоклонус |
| Лаготто-романьоло | Абиотрофия мозжечка |
| Леонбергер | Врожденная полиневропатия |
| Лхасский апсо | Врожденная гидроцефалия Лиссэнцефалия |
| Лерчер | Гипомиелинизация/ дисмиелинизация (дисмиелиногенез) |
| Малинуа | Губчатая дегенерация (серого вещества) |
| Мальтийская болонка | Порок развития каудальной части затылочной кости (с сирингогидромиелией) Врожденная глухота Врожденная гидроцефалия Синдром идиопатического тремора Некротизирующий менингоэнцефалит Органическая ацидурия |
| Мэнская | Дисгенез крестцового и хвостового отделов Врожденная глухота (у животных белого окраса) |
| Мастиф | Абиотрофия мозжечка Спондиломиелопатия каудальной части шейного отдела Экстрадуральная синовиальная киста |
| Карликовый пинчер | Врожденная глухота Синдром идиопатического тремора Мукополисахаридоз 2 типа |
| Ньюфаундленд | Myasthenia gravis Полимиозит |
| Норвежский дункер | Врожденная глухота |
| Норвежская лесная кошка | Гликогеноз IV типа |
| Норвич-терьер | Эпизодический гипертонус мышц |
| Новошотландский ретривер | Врожденная глухота |
| Ретривер | Идиопатическая эпилепсия |
| Староанглийская овчарка | Абиотрофия мозжечка Врожденная глухота Митохондриальная миопатия Мышечная дистрофия |
| Папильон | Врожденная глухота Дистрофия аксонов |
| Пекинес | Нестабильность атлантоосевого сустава Врожденная гидроцефалия Заболевание межпозвонковых дисков (тип I) Гипоплазия зрительного нерва |
| Персидская | Врожденная глухота (у животных белого окраса) Маннозидоз-альфа |
| Пит-бультерьер | Врожденная глухота |
| Гончая Плотта | Мукополисахаридоз 1 типа |
| Пойнтер | Врожденная глухота |
| Померанский шпиц | Нестабильность атлантоосевого сустава Порок развития каудальной части затылочной кости (с сирингогидромиелией) Врожденная гидроцефалия Шаровидноклеточная лейкодистрофия Внутричерепная киста паутинного пространства |
| Пудель (малый) | Нестабильность атлантоосевого сустава Порок развития каудальной части затылочной кости (с сирингогидромиелией) Абиотрофия мозжечка Врожденная глухота Гликопротеиноз Заболевание межпозвонковых дисков (тип I) Лейкодистрофия/ губчатая дегенерация (головного мозга) Нарколепсия/ катаплексия Гипоплазия зрительного нерва Сфингомиелиноз Лейкодистрафия спинного мозга |
| Пудель (стандартный) | Идиопатическая эпилепсия Органическая ацидурия Полимикрогирия (нарушение миграции нейронов) |
| Пудель (карликовый) | Нестабильность атлантоосевого сустава Врожденная гидроцефалия |
| Португальская водяная собака | Ганглиозидоз (GM1) |
| Мопс | Порок развития каудальной части затылочной кости (с сирингогидромиелией) Врожденный порок развития позвонков (половинные позвонки) Внутричерепная киста паутинного пространства Некротизирующий менингоэнцефалит |
| Пули | Врожденная глухота |
| Квинслендский голубой хилер | Восковидный липофусцноз |
| Рэт-терьер | Мышечная дистрофия |
| Рекс | Миопатия |
| Родезийский риджбек | Абиотрофия мозжечка Врожденная глухота Дермоидный (пилонидальный) синус Врожденная миотония |
| Ротвейлер | Спондиломиелопатия каудальной части шейного отдела Врожденная глухота Дистальная чувствительно-двигательная полиневропатия Комплекс паралича гортани/ полиневропатии Лейкоэнцефаломиелопатия Дистрофия аксонов Вакуолизация нейронов Арахноидальная киста спинного мозга Атрофия мышц позвоночника (заболевание двигательных нейронов) |
| Русская борзая | Гипоплазия зрительного нерва |
| Сенбернар | Приобретенный (идиопатический) паралич гортани Врожденная глухота Эпизодическая потеря контроля (синдром ярости) Идиопатическая эпилепсия Нарколепсия/ катаплексия |
| Салюки | Восковидный липофусцноз Лейкодистрофия/ губчатая дегенерация Губчатая дегенерация (серого вещества) Атрофия мышц позвоночника (заболевание двигательных нейронов) |
| Самоедская лайка | Абиотрофия мозжечка Врожденная myasthenia gravis Гипомиелинизация/ дисмиелинизация (дисмиелиногенез) Лейкодистрофия/ губчатая дегенерация Мышечная дистрофия Врожденная миотония (у метисов самоедской лайки) |
| Шнауцер (ризен) | Врожденная глухота Нарколепсия/каталепсия |
| Шнауцер (цверг) | Врожденный мегаэзофагус Миелопатия вследствие Фиброзно-хрящевой эмболии Гиперлипидемия (судороги) Идиопатическая адипсия Идиопатическая эпилепсия Заболевание межпозвонковых дисков (тип I) Мышечная дистрофия Врожденная миотония |
| Шотландский дирхаунд | Первичный ортостатический тремор Гипертрофия суставных отростков позвонков (суставных поверхностей) |
| Шотландская вислоухая | Врожденная глухота (у животных белого окраса) |
| Скотч-терьер | Абиотрофия мозжечка Врожденная глухота Эпизодический гипертонус мышц («судорога» у скотч-терьеров) Лейкодистрофия/ губчатая дегенерация (фибриноидная лейкодистрофия/ болезнь Александра) |
| Силихэм-терьер | Врожденная глухота |
| Шар-пей | Врожденный мегаэзофагус |
| Шелти | Врожденная глухота Дерматомиозит Гиперлипидемия (судороги) Митохондриальная энцефалопатия (синдром Кирнса-Сейри) Губкообразная энцефалопатия |
| Ши-тцу | Нестабильность атлантоосевого сустава Заболевание межпозвонковых дисков Внутричерепная киста паутинного пространства |
| Шилонская овчарка | Гипертрофия суставных отростков позвонков (суставных поверхностей) |
| Шропширский терьер | Врожденная глухота Восковидный липофусцноз Врожденное вестибулярное заболевание Ганглиозидоз (GM1) Гипомиелинизация/ дисмиелинизация (дисмиелиногенез) Мукополисахаридоз Маятникообразный нистагм (врожденный) Сфингомиелиноз (болезнь Ниманна-Пика) |
| Сибирская хаски | Врожденная глухота Дегенеративная миелопатия Наследственный паралич гортани Чувствительный ганглиорадикулоневрит |
| Силки-терьер | Лейкодистрофия/ губчатая дегенерация |
| Гладкошерстный фокстерьер | Врожденная myasthenia gravis Наследственная атаксия |
| Мягкошерстный пшеничный терьер | Врожденная глухота Дискинезия (нарушение движения) |
| Сомалийская | Приобретенная myasthenia gravis |
| Спрингер-спаниель | Врожденная глухота Врожденная myasthenia gravis Эпизодическая потеря контроля (синдром ярости) Гипомиелинизация/ дисмиелинизация (дисмиелиногенез) Фукозидоз |
| Стаффордширский терьер | Порок развития каудальной части затылочной кости Абиотрофия мозжечка Врожденная миотония Органическая ацидурия (1-2-гидроксиглутаровая ацидурия) |
| Сассекс-спаниель | Врожденная глухота Митохондриальная миопатия |
| Шведская лапландская собака | Гликогеноз II типа Атрофия мышц позвоночника (заболевание двигательных нейронов) |
| Сиднейский силки-терьер | Глюкоцереброзидоз |
| Метисы терьеров | Множественные хрящевые экзостозы |
| Тибетский мастиф | Гипертрофическая невропатия |
| Тибетский спаниель | Врожденная глухота |
| Тибетский терьер | Восковидный липофусцноз Врожденная глухота |
| Карликовый пудель | Врожденная глухота |
| Турецкая ангора | Врожденная глухота (у животных белого окраса) |
| Гончая Уолкера | Врожденная глухота Моноревропатия |
| Веймаранер | Гипомиелинизация/ дисмиелинизация (дисмиелиногенез) Дизрафия спинного мозга |
| Пемброк-вельш-корги | Дегенеративная миелопатия Заболевание межпозвонковых дисков (тип I) |
| Уэст-хайленд-уайт-терьер | Врожденная глухота Синдром тремора, поддающийся кортикостероидной терапии (идиопатический) Шаровидноклеточная лейкодистрофия Органическая ацидурия (1-2-гидроксиглутаровая ацидурия) |
| Уиппет | Врожденная глухота |
| Жесткошерстный фокстерьер | Абиотрофия мозжечка Врожденная глухота Врожденный мегаэзофагус |
| Йоркширский терьер | Нестабильность атлантоосевого сустава Порок развития каудальной части затылочной кости (с сирингогидромиелией) Врожденная глухота Врожденная гидроцефалия Заболевание межпозвонковых дисков (тип I) Микрососудистая дисплазия печени Митохондриальная энцефаломиелопатия Миокимия/ нейромиотония Некротизирующий лейкоэнцефалит Портосистемный анастомоз (печеночная энцефалопатия) |
| Югославская овчарка | Восковидный липофусцноз |
*Породы кошек напечатаны курсивом.
Прогноз
Прогноз развития врожденной дилатации пищевода у молодых животных охраняется. Некоторые животные кажутся нормальными к тому времени, когда они созревают, на основе рентгенографического, манометрического и клинического обследования, в то время как другие не показывают клинического улучшения со временем. Приобретенный, идиопатический мегаэзофагус, как правило, имеет плохой прогноз для выздоровления, хотя время от времени сообщается о временном мегаэзофагусе, сопровождаемом спонтанным выздоровлением.
Прогноз вторичного расширения пищевода
варьируется в зависимости от основной причины, например, у кошек с мегаэзофагусом и дистонией — плохой прогноз, тогда как клиническое улучшение отмечено у собак после лечения первичного заболевания, например, миастении, гипоадренокортицизма, гипотиреоза, ботулизма, столбняка и отравления свинцом. Кахексия становится важным осложнением, и смерть является общим следствием аспирационной пневмонии.
